
Perform more complex and minimally invasive vascular surgery based on detailed insights into vasculature and devices. During long cases, you can count on reliable imaging performance and dose efficiency. Table side control helps you stay focused on the task and patient. The Zenition 70 is available in two detector sizes: the FD 26 cm x 26 cm offers broad anatomical coverage, while the compact FD 21 cm x 21 cm provides ample space to work around patients.

Point-and-shoot simplicity and reliable uptime make these productive systems for fast-paced vascular caseloads. Obtain specific image quality at efficient dose levels to clarify tiny details and anomalies for diverse patients. Support efficient teamwork with Unify workflow, proven to reduce miscommunication and positioning errors.1 The Zenition 50 Series comes with a 12-inch and 9-inch image intensifier and can go wherever you need it - surgery, intensive care and the emergency room.

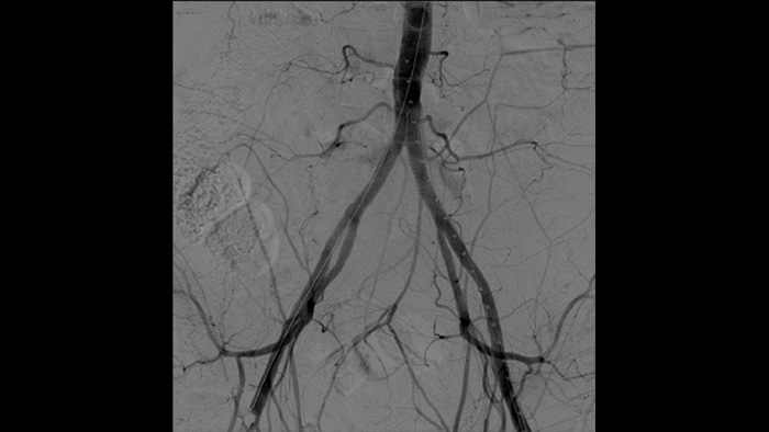
One of Spain’s leading specialists in minimally invasive vascular surgery is Dr. Ramon Vila, who is Head of the Angiology and Vascular Surgery Department, Bellvitge University Hospital, Barcelona, Spain. This hospital performs 1,000 vascular surgeries a year.
With the Philips Zenition mobile C-arm, Dr. Vila is obtaining outstanding high-quality images that allow him to perform most vascular procedures at the low dose setting.
With the Zenition, our DSA image quality has improved greatly. We no longer see a grainy image. We just see a very clear image."
Dr. R. Vila, MD
Bellvitge University Hospital, Barcelona, Spain
Made for easy use in fast-moving OR environments, Zenition builds on Philips Unify workflow to establish an immediate sense of familiarity and confidence during any intervention and surgical procedure.

Digital subtraction angiography (DSA) is used in interventional vascular procedures to clearly visualise blood vessels by removing structures that can obscure vessel visibility. Roadmap fluoroscopy overlays a previously acquired subtracted contrast image on the live fluoroscopy, allowing you to track a device without reinjecting contrast.
As an addition to the Zenition 70 platform, the Touch screen module2 (TSM) supports table-side control for surgeons during procedures. Via the touchscreen, you can select, drag and zoom items with ease. This means you can view images instantly, giving you greater image control during procedures.

Use the Outlining tool to easily mark a bifurcation or side branches by simply drawing on the monitor of the Mobile Viewing Station with your finger or an externally connected mouse.

Enhance visibility of tortuous vasculature with Iodine and CO2 contrast medium options. Easily control injections at table side. For patients with renal failure, you can use the CO2 option to easily visualise small vessels without using iodine contrast.
It’s easier to see a guide wire compared to our old system. Now you can see the tip and the angle of the wire that’s going around, even with 0.014 inch wires.
That’s because Zenition compensates for what’s metal and what’s moving."
Dr. R. Vila, MD
Bellvitge University Hospital, Barcelona, Spain
Perform orthopedic cases with ease and confidence using Philips Zenition mobile C-arm imaging systems, offering proven ease of use and future-fit capabilities.
Learn morePerform pain management cases with ease and confidence using Philips Zenition mobile C-arm imaging systems, offering proven ease of use and future-fit capabilities.
Learn moreCarry out gastroenterology and urology procedures with greater ease and confidence on Philips Zenition mobile C-arm imaging systems.
Learn more 1 Results obtained during user tests performed in November 2013 by Use-Lab GmbH, an independent company. The tests involved 30 USA based clinicians (15 physicians teamed up with 15 nurses or X-ray technicians), who performed simulated procedures using Philips mobile X –ray systems in a simulated OR environment. None of them had worked with each other before. 2 TSM is available as an option on Zenition 70 only
You are about to visit a Philips global content page
ContinueSvetainė skirta tik asmenims, naudojantiems medicinos priemones profesinėje veikloje, įskaitant sveikatos priežiūros specialistams, profesinę veiklą vykdantiems asmenims, atstovaujantiems sveikatos priežiūros įstaigą ar medicinos priemonėmis prekiaujančią organizaciją.
Ar esate asmuo, atitinkantis aukščiau nurodytus kriterijus?