You’ve got a lot on the line, clinically and economically. Accelerate clinical efficiency with innovative echocardiography offerings that work harder to help care teams work smarter, before, during and after procedures.
Advance your echocardiography program to its fullest potential. Consult with a Philips Healthcare sales representative today.

New developments in AI and advanced automation, combined with intelligent information management, are making it easy to assess heart function with echocardiography. Three leading physicians explain how.
The estimated current worldwide prevalence of heart failure is 64.3 million cases, with an economic burden of $346.16 billion.1 Clearly, new answers are needed.
1 Lippe G, Sanchis-Gomar F. Global epidemiology and future trends of heart failure. AME Med J. 2020;5:15.
See how Philips intelligence is enabling care teams to work with enhanced efficiency throughout echocardiography from the time a physician orders the exam to study completion, billing and referral.
A single point of access to images and information anytime and virtually anywhere. Perform comprehensive analysis, quantification and reporting for fast, informed decision making.
Decrease deployment costs and save time while interfacing to existing systems through our zero footprint technology and interoperability.
More than ever, today’s new normal is challenging echocardiography departments to increase quality of care over more patients, and do it more efficiently.
Work smarter—and collaborate with Philips.
We are here for you, making it easy to achieve quality results more consistently with advanced visualization and quantification tools, automating repetitive tasks with AI and providing insightful information where and when it’s needed most.
Learn more about how our clinically smart diagnostic solutions help to streamline workflows and provide actionable insights that increase both clinical confidence and efficiency-without compromise.

Streamline echocardiography workflow across your organization with Philips Ultrasound Workspace. Built on the legacy of the TOMTEC ARENA platform, it allows for greater efficiency in viewing, analysis and reporting by giving care teams the flexibility to adopt different workflows based on their current and future needs.
IntelliSpace Cardiovascular is designed to help streamline workflow and improve operational performance throughout the cardiovascular care continuum.

The EPIQ CVx is a dedicated cardiac ultrasound solution which brings significant advancements in functionality. This helps you deliver better care through higher processing power, exceptional imaging with more clarity & sharpness, improved exam efficiencies, complemented by the proven, robust quantification capabilities of Ultrasound Workspace.

The Philips Affiniti CVx ultrasound system is a dedicated cardiovascular solution designed to meet the everyday demands of cardiology – helping you deliver better care to more patients
Collaboration Live lets you extend your team without expanding it. Learn more about what Children’s Hospital Colorado is experiencing by using Collaboration Live.
Stay on top of what’s happening in cardiac diagnostics by partnering with Philips. You’ll find a host of useful resources to keep you up to date.

Dr. Roberto Lang, University of Chicago, Chicago, Illinois USA
Cardiac implications of COVID-19
Automated strain tools can simplify assessment of right ventricular function, impacting care pathways of patients with COVID-19.

Dr. Teresa Lopez-Fernandez, La Paz University Hospital, Madrid, Spain
Using advanced ultrasound tools to assess CTRCD
Time-consuming methods are overcome by applying Philips Anatomically Intelligent Ultrasound (AIUS) to cardiotoxicity prevention.

Dr. Pei-Ni Jone. Children’s Hospital Colorado. Aurora, Colorado
Expanding access to expertise in echocardiography
Collaboration Live allows physicians to review images and provide guidance in real time without being physically present.

Miami Cardiac & Vascular Institute, Baptist Health South Florida, Miami, Florida USA
Partnering in data-driven innovation
Making data transparent to everyone and creating an environment where they can discuss the findings helps build strong teams.

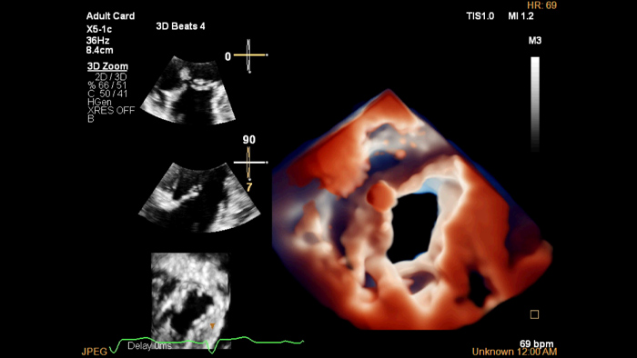
Professor Alex Lee, Prince of Wales Hospital, Hong Kong, China
Photorealistic imaging in 3D echocardiography
A virtual light source highlights structures and facilitates depth perception for enhanced interpretation of heart disease images.
Discover more ways we can help you manage your cardiology patients with higher quality and efficiency throughout their care journey.
You are about to visit a Philips global content page
ContinueSvetainė skirta tik asmenims, naudojantiems medicinos priemones profesinėje veikloje, įskaitant sveikatos priežiūros specialistams, profesinę veiklą vykdantiems asmenims, atstovaujantiems sveikatos priežiūros įstaigą ar medicinos priemonėmis prekiaujančią organizaciją.
Ar esate asmuo, atitinkantis aukščiau nurodytus kriterijus?