
Decrease complications of CVC insertions
Real-time ultrasound guidance can improve the accuracy and safety of CVC insertions.

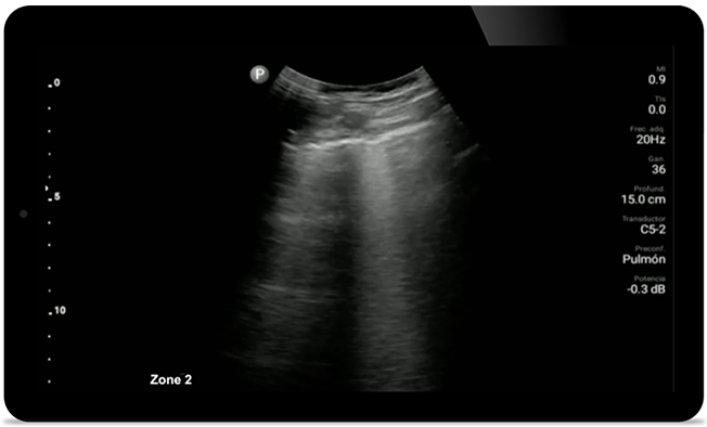
Keep an eye on COVID pneumonia
Lumify can help give results similar to a chest CT when evaluating pneumonia and adult respiratory distress syndrome.

Act faster to protect their heart
When seconds count, portable ultrasound can make the difference. Lumify can provide the high-definition imagery you need whenever and wherever you need it.
















• 12 to 4 MHz extended operating frequency range • Aperture size: 34mm • 2D, steerable color Doppler, M-mode, advanced XRES and multivariate harmonic imaging, SonoCT • High resolution imaging for shallow applications: soft tissue, vascular, superficial, musculoskeletal, and lung • Center line marker • USB-C transducer with replaceable cable



Case study
Opportunity to potentially reverse cardiomyopathy

Tutorial
Intro to transthoracic echocardiography

Quick guide
Focused renal ultrasound
You are about to visit a Philips global content page
ContinueSvetainė skirta tik asmenims, naudojantiems medicinos priemones profesinėje veikloje, įskaitant sveikatos priežiūros specialistams, profesinę veiklą vykdantiems asmenims, atstovaujantiems sveikatos priežiūros įstaigą ar medicinos priemonėmis prekiaujančią organizaciją.
Ar esate asmuo, atitinkantis aukščiau nurodytus kriterijus?